POCUS Made Easy: eFAST
eFAST (Focused Assessment with Sonography in Trauma) is used to look for pathology in trauma such as haemothorax, pneumothorax, haemoperitoneum and haemopericardium and looking for free fluid in ectopic pregnancy
Pre-reading
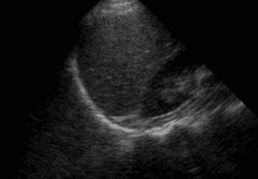
3. RUQ view
- Labelled RUQ
- Longitudinal view
- Demonstration of the inferior hepatorenal interface (Morrison’s Pouch) + inferior liver tip
7. Pelvis view
- Labelled PELVIS
- Longitudinal view
- Females: Demonstration bladder, uterus, Pouch of Douglas & rectum.
- Males: bladder, prostate & rectum
8. Subxiphoid view (or Parasternal Long Axis)
- Labelled SUBX (or PLAX)
- Transverse view
- Demonstration of the pericardium
Image Sets
- Minimum 8 Still Images
- 8-12 images
- Optional extra views including Pelvis Trans
Machine Settings
- CURVILINEAR Probe. But can change to optimise image
- ABDO setting for all images
Documentation – Pocus eFAST
- Views: Adequate/ Inadequate
- Findings: NAD / eFAST +ve (Free fluid/ Pneumothorax/Pericardial Effusion/ Pleural Effusion)
Positive Findings (always consider clinical context)






References and Further reading
Bendigo ED Resource PDF – eFAST
Clinical Cases
[cite]

POCUS
made easy
MBChB FACEM CCPU. Emergency Physician at Bendigo Hospital and Royal Melbourne Hospital, Victoria. Australia.
I studied in Scotland before completing my Emergency Medicine training in Melbourne. I have a big interest in point-of-care ultrasound use and training in Emergency Medicine. I'm also interested in Choosing Wisely and sustainability initiatives in healthcare.
In my free time you'll find me playing tennis and soccer, or heading outdoors on camping trips.










