Léon Bouveret

Léon Bouveret (1850-1929) was a French physician
Bouveret was a physician, teacher, and prolific medical writer best known for his contributions to gastroenterology and internal medicine. Bouveret pursued medicine in Paris, placing third in the competitive Internat des Hôpitaux de Paris in 1873. He trained under prominent clinicians including Paul Broca and Jules-Joseph Déjerine before relocating to Lyon, where he would spend the bulk of his professional life.
Bouveret’s clinical focus was broad, spanning infectious disease, cardiology, and gastrointestinal medicine. His 1886 work with Raymond Tripier on cold water therapy for typhoid fever aligned with public health efforts during the cholera epidemic of 1884–85. He became best known, however, for his descriptions of gastric disorders. His Traité des maladies de l’estomac (1893) became a cornerstone text in early gastroenterology. Within it, he described a form of gastric outlet obstruction due to gallstone impaction in the duodenum (Bouveret syndrome). He also gave early descriptions of paroxysmal supraventricular tachycardia, later referred to as maladie de Bouveret.
Though Bouveret retired from hospital duties in 1900, he remained scientifically active and continued publishing during World War I and into the 1920s. His later writings showed a shift toward preventive medicine and social hygiene, including proposals for rural sanatoria and youth-focused health reform.
Biographical Timeline
- Born on September 27, 1850 in Saint-Julien-sur-Reyssouze, Ain, France. His father was a rural physician, influencing his early interest in medicine.
- 1873 – Ranked third in the competitive Internat des Hôpitaux de Paris examination.
- 1878 – Defended his doctoral thesis on generalised osseous tumors (“tumeurs à ostéoblastes“) in Paris. Moved to Lyon to work in the private clinic of Raphaël Lépine (1840-1919)
- 1879 – Appointed Médecin des Hôpitaux in Lyon.
- 1880 – Became professeur agrégé of the Faculty of Medicine, Lyon. His thesis was on “Sueurs morbides” (pathological sweating)
- 1884–1885 – Played a key role in combating a cholera epidemic in Ardèche, staying in an affected village for two months. His epidemiological report on this received honorable mention for the Bréant Prize.
- 1886 – Co-authored with Raymond Tripier (1838-1916) “La fièvre typhoïde traitée par les bains froids“, advocating cold bath treatment for typhoid fever.
- 1888–1891 – Prolific publication period including Traité de l’empyème (1888), La neurasthénie (1891), La dyspepsie par hypersécrétion gastrique (1891)
- 1893 – Published Traité des maladies de l’estomac (1893), which became a foundational gastroenterology text and introduced Bouveret Syndrome (gastric outlet obstruction due to gallstone).
- 1889 – Described “tachycardie essentielle paroxystique”, an early clinical characterization of paroxysmal supraventricular tachycardia (PSVT)
- 1900 – Voluntarily retired from hospital service at age 50. Despite this, remained scientifically active and published periodically, including during World War I.
- 1902 – Published early work on sanatoriums and rural colleges, anticipating trends in social medicine and youth hygiene.
- Died on February 20, 1929 in Lyon, aged 79, still active in research, particularly on cancer pathogenesis.
Medical Eponyms
Bouveret Syndrome (1895)
Bouveret syndrome is a rare variant of gallstone ileus, presenting as gastric outlet obstruction due to a large gallstone that has migrated through a biliogastric or bilioduodenal fistula, becoming lodged in the pylorus or proximal duodenum.
1893 – In his textbook Traité des maladies de l’estomac, Léon Bouveret (1850-1929) described a case of pyloric obstruction secondary to a gallstone eroding through the gallbladder into the stomach.
1896 – Bouveret published a more detailed account of two personal cases, including clinical features, surgical findings, and pathological correlations. He linked the syndrome to earlier fistula-related complications of gallstones
❝La vésicule biliaire était fortement adhérente au pylore; le calcul, en traversant la paroi commune, avait pénétré dans le canal digestif et obstruait complètement la lumière duodénale.❞
Bouveret 1896
The gallbladder was firmly adherent to the pylorus; the stone, having passed through the shared wall, had entered the digestive tract and completely obstructed the duodenal lumen.



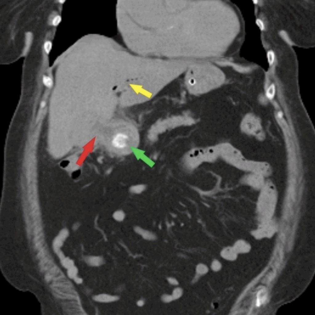
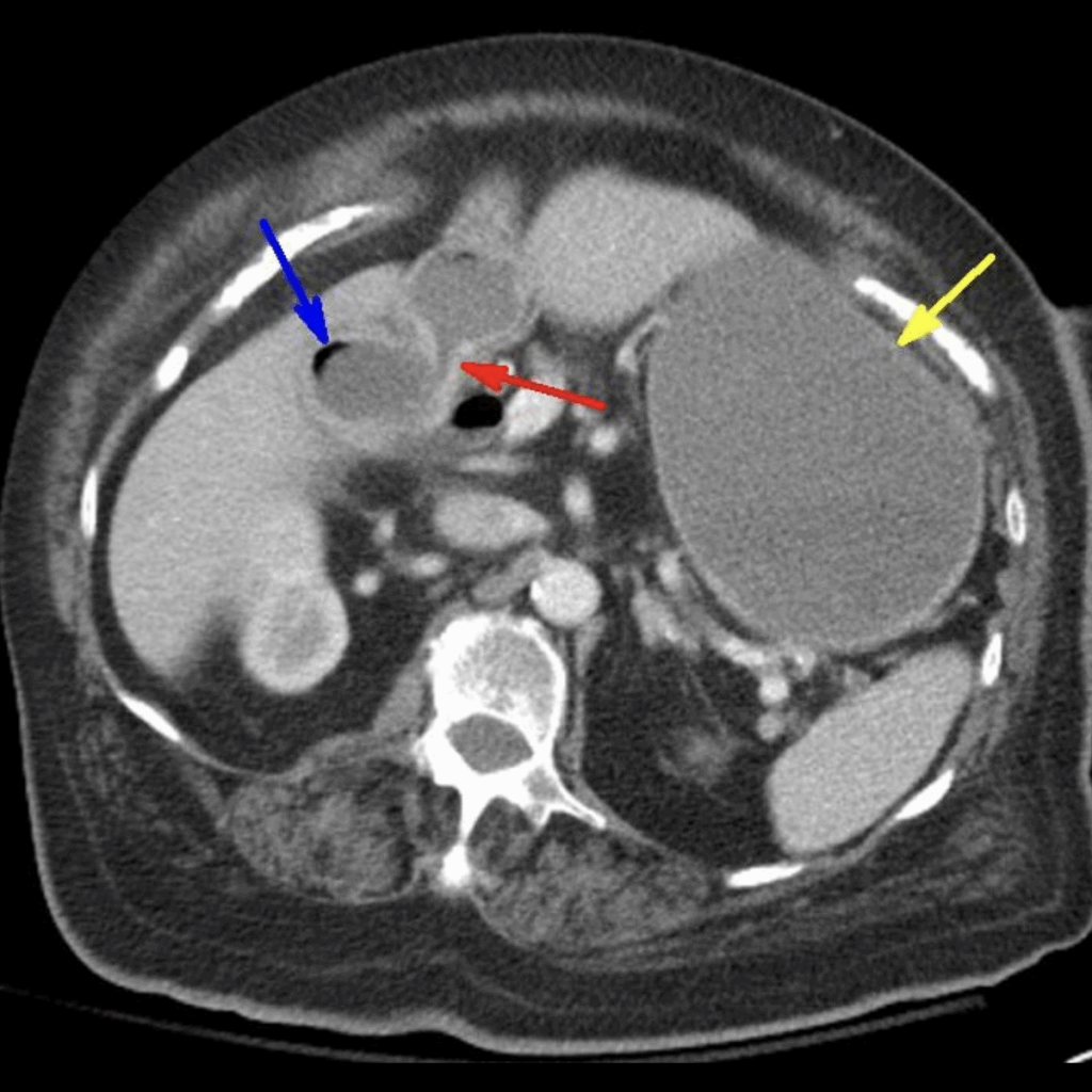
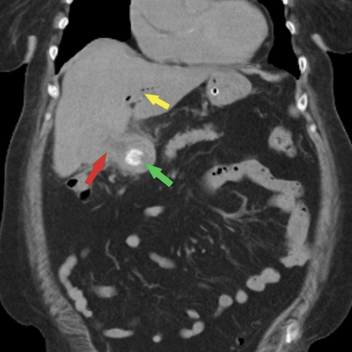
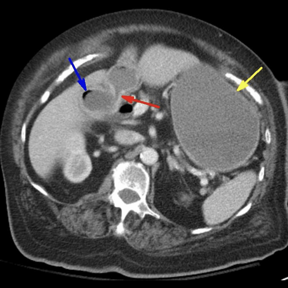
Case 2: Bouveret syndrome with Rigler’s triad: air within the gallbladder (blue arrow), cholecystoenteric fistula (red arrow) with ectopic gallstone in proximal duodenum, and gastric distention (yellow arrow). Radiopaedia
Maladie de Bouveret (1889)
Archaic eponym for paroxysmal tachycardia characterised by sudden onset and termination in an otherwise healthy individual.
1867 – Richard Payne Cotton (1820-1877) documented a patient with a heart rate of 232 bpm using a sphygmograph, one of the first graphic tracings of paroxysmal tachycardia.
The case being of so remarkable, and, as I believe, unique a character… Dr. Sanderson succeeding in getting an accurate tracing of the radial pulse with the sphygmograph… the pulse was singularly uniform and regular in its beat, differing from the natural pulse principally in its extreme feebleness and great rapidity.
Cotton 1867

1889 – Bouveret described tachycardie essentielle paroxystique in patients with structurally normal hearts, emphasizing abrupt onset and cessation, often without underlying organic pathology. This clinical syndrome corresponds today to a variety of supraventricular tachycardias (SVTs), including AV nodal reentrant tachycardia (AVNRT), AV reentrant tachycardia (AVRT), atrial tachycardia, and even idiopathic ventricular tachycardias.
Je donnerai ce nom de tachycardie essentielle à une forme de la maladie qui, survenant brusquement, disparaît aussi brusquement, sans cause organique du cœur, et qui, dans les cas bien observés, est souvent bénigne – Bouveret 1889
I will give this name of essential tachycardia to a form of the disease which, occurring suddenly, also disappears suddenly, without an organic cause of the heart, and which, in well-observed cases, is often benign – Bouveret 1889
While the term maladie de Bouveret persists in French medical vernacular, it no longer designates a single, electrophysiologically unified syndrome. Rather, it serves as a historical umbrella for multiple arrhythmia types that share the surface characteristics described by Bouveret.
Major Publications
- Bouveret L. Des sueurs morbides, Paris: J.-B. Baillière 1880
- Bouveret L. Les migrations insolites de l’empyème, 1882
- Tripier R, Bouveret L. La fièvre typhoïde traitée par les bains froids, 1886 [Die Kaltwasserbehandlung des Typhus, 1889]
- Bouveret L. Traite de L’empyeme, 1888
- Bouveret L. De la tachyardie essentielle paroxystique. Revue de médecine, Paris 1889; 9: 753-793, 837-855. [Maladie de Bouveret]
- Bouveret L. La neurasthénie (équisement nerveux), Paris: J.-B. Baillière 1891
- Bouveret L. La dyspepsie par hypersécrétion gastrique: maladie de Reichmann. Paris: J.-B. Baillière 1891
- Bouveret L. Traité des maladies de l’estomac, Paris: J.-B. Baillière 1893
- Bouveret L. Sténose du pylore adhérent à la vésicule calculeuse, Revue de médecine, Paris 1896; 16: 1-16 [Bouveret Syndrome]
Controversies
Eponymic Confusion and Legacy
The label “Bouveret disease” has caused notable terminological confusion due to its use for two entirely different systems (GI and cardiac) and overlapping clinical descriptors like “suddenness” or “paroxysmal onset.” Some texts even misleadingly refer to “ventricular Bouveret syndrome,” adding further semantic ambiguity. The GI variant has persisted more widely in surgical and radiologic literature, while the cardiologic usage is largely historical with modern nomenclature prefers terms like AVNRT or PSVT. Nonetheless, both uses reflect Bouveret’s role in capturing the clinical syndromes before the availability of modern imaging or electrodiagnostic tools.
Correct publication
The most classic description by Bouveret is oft quoted as “Stenose du pylore adherent a la vesicule. Revue médicale (Paris) 1896; 16: 1-16” – a reference repeated in the reference list of review papers since 1996. This paper does not exist. The real reference for contextual review exists in “Sténose du pylore adhérent à la vésicule calculeuse, Revue de médecine 1896; 16: 1-16“
References
Biography
- Français H. Léon Bouveret (1850-1929). Paris médical: la semaine du clinicien. 1929; 72: 313
- Léon Bouveret. Le progrès médical 1929; 18: 788-789
- Paviot J. Léon Bouveret (1850-1929). Le Journal de médecine de Lyon. 1929: 681
- Mouisset F. L. Bouveret (1850-1929). Presse médicale. 1929; 25: 413-414
- Clemençon I. Léon Bouveret (1850-1929), sa vie et son oeuvre scientifique. Thèse, 1995
- Bibliography. Bouveret, Léon. WorldCat Identities
Eponymous terms
Bouveret syndrome (gastric)
- Kosorok P. Bouveret’s syndrome (gallstone ileus)–a minefield. Br J Clin Pract. 1996 Jan-Feb;50(1):59-60
- Ariche A, Czeiger D, Gortzak Y, Shaked G, Shelef I, Levy I. Gastric outlet obstruction by gallstone: Bouveret syndrome. Scand J Gastroenterol. 2000 Jul;35(7):781-3.
- Cappell MS, Davis M. Characterization of Bouveret’s syndrome: a comprehensive review of 128 cases. Am J Gastroenterol. 2006 Sep;101(9):2139-46.
- Doycheva I, Limaye A, Suman A, Forsmark CE, Sultan S. Bouveret’s syndrome: case report and review of the literature. Gastroenterol Res Pract. 2009;2009:914951.
- Alemi F, Seiser N, Ayloo S. Gallstone Disease: Cholecystitis, Mirizzi Syndrome, Bouveret Syndrome, Gallstone Ileus. Surg Clin North Am. 2019 Apr;99(2):231-244
- Nasser HA, Ibrahim N, Nasser AA, Mendes VM, Zein M. Gastric outlet obstruction – looking for a syndrome: Bouveret or Mirizzi? Int J Surg Case Rep. 2021 Jul;84:106098.
- Turner AR, Kudaravalli P, Ahmad H. Bouveret Syndrome. 2021 Feb 17. In: StatPearls [Internet]. Treasure Island (FL): StatPearls Publishing; 2021
- Jin L, Naidu K. Bouveret syndrome-a rare form of gastric outlet obstruction. J Surg Case Rep. 2021 May 19;2021(5):rjab183
- Zheng B, Li C, Wang S. Cholecystogastric fistula presenting as pyloric obstruction: A rare case of Bouveret syndrome. Asian J Surg. 2022 Jan;45(1):635-636.
Bouveret syndrome (cardiac)
- Cotton RP. Notes and Observations upon a Case of Unusually Rapid Action of the Heart (232 per Minute). Br Med J. 1867 Jun 1;1(335):629-30.
- Marty J, Renner R, Rispe R, Bouvet B. Syndrome de Bouveret ventriculaire et syndrome post-tachycardique [Ventricular Bouveret syndrome and post-tachycardia syndrome]. Arch Mal Coeur Vaiss. 1955 Jul;48(7):680-4.
- Slama R, Coumel P, Motté G, Bouvrain Y. Tachycardies paroxystiques liées à un syndrome de Wolff-Parkinson-White inapparent [Paroxysmal tachycardia due to a latent Wolff-Parkinson-White syndrome]. Nouv Presse Med. 1975 Dec 27;4(45):3167-72.
- Frank R, Tonet J, Gallais Y, Lascault G, Fontaine G. Les méthodes ablatives, alternative thérapeutique aux traitements médicamenteux pour les tachycardies jonctionnelles [Ablative methods, therapeutic alternative to medical treatment for junctional tachycardia]. Ann Cardiol Angeiol (Paris). 1994 Mar;43(3):167-70.
Eponym
the person behind the name
MbChB University of Bristol, UK. Currently working at Sir Charles Gairdner Hospital, Perth, Australia in emergency medicine.
BA MA (Oxon) MBChB (Edin) FACEM FFSEM. Emergency physician, Sir Charles Gairdner Hospital. Passion for rugby; medical history; medical education; and asynchronous learning #FOAMed evangelist. Co-founder and CTO of Life in the Fast lane | On Call: Principles and Protocol 4e| Eponyms | Books |

