Barton fracture
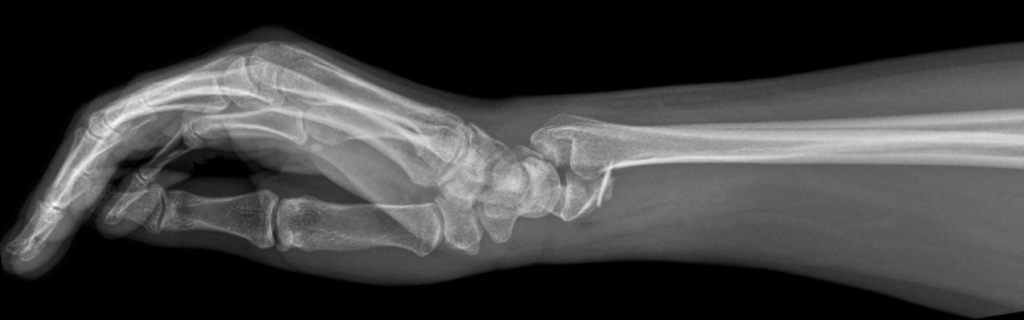
Barton fracture is an intra-articular fracture of the distal radius with subluxation or dislocation of the radiocarpal joint in the direction of the fracture fragment.
Either the ventral (anterior/volar) or dorsal (posterior) aspect of the radiocarpal joint is fractured. These ‘shear-type’ fractures involve the articular surface of the radius. Barton’s original description delineates the posterior marginal injury (dorsal type Barton fracture) and anterior marginal injury (volar Barton or reverse Barton fracture)
Both the anterior and posterior marginal fracture dislocations of the distal radius are uncommon injuries though the volar Barton fracture type is thought to be more common than the dorsal type.

History of the Barton fracture
1838 – John Rhea Barton described a ‘subluxation of the wrist consequent to a fracture through the articular surface of the carpal extremity of the radius.’ in his publication Views and treatment of an important injury of the wrist.
In simple sprains of the wrist, though accompanied by extreme swelling, the limb will still be found to retain a characteristic outline of its natural contour. It is not marked by any abrupt and solid eminences, the swelling is rather uniform, diffuse and puffy, the hand continues on the same line with that of the forearm, etc. In complete dislocations, the nature of the injury must always be very palpable from the great bulging of the overlapped bones and from the shortening of the limb, etc. Between these two injuries there is too great a dissimilarity to admit of an excuse for the surgeon who mistakes the one for the other; but he may confound with these and it is a common fault to do so, a subluxation of the wrist, consequent to a fracture through the articular surface of the carpal extremity of the radius; although to this accident belong appearances exclusively its own.
Barton 1838
Barton first defined a posterior marginal injury – an intra-articular fracture-dislocation, with dorsal displacement:
A fragment is thus broken off from the margin of the articular surface of this bone, and is carried up, before the carpal bones, and rested upon the dorsal side of the radius; they having been forced from their position, either by the violence, or by the contraction of the muscles alone. We have then an imperfect luxation of the wrist, depending on a fracture through the extremity of the radius. The deformity will be found to correspond with this state of the case. There is a tumour on the dorsal side of the arm formed by the bulging of the carpal bones and fragments; whilst below it, on the palmar side, the extremity of the radius projects…
The fragment may be, and usually is, quite small, and is broken from the end of the radius on the dorsal side, and through the cartilagenous face of it, and necessarily into the joint…
Barton 1838: 366

Contrary to most literature stating that Barton only defined the posterior marginal injury, Barton also defined the anterior marginal injury. This injury was later termed a ‘volar Barton fracture’ or ‘reverse Barton fracture’. Barton determined the posterior injury to be more common than the anterior version.
It sometimes happens also, though rarely, that fracture of a similar character to the one just described, occurs on the palmar side of the radius, from the application of force against the. back of the hand whilst it is bent forward to its ultimate degree. Whenever the fracture takes place in front, the end of the radius projects over the wrist on the dorsal side, and the carpal bones and fragment rise out of their proper situations, and form the tumor on the palmar side thus reversing the deformity of the arm…
Barton 1838

Barton recognized the unstable nature of the reduction in fracture dislocations of the wrist, in contrast to the stable reduction obtained in simple dislocations. The displacement was reduced with traction on the fingers with the elbow bent to a right angle, however with the release of traction, the displacement recurred. The arm was therefore splinted while traction was maintained, and released only after the last bandage was tied in place. The arm was examined frequently during the healing period to be certain that subluxation did not recur. The difficulty in preserving the reduction of these fracture dislocations persists to this day as a challenge to the ingenuity of the surgeon.
Barton was criticized by JF Malgaigne in 1859 and by Lewis Atterbury Stimson in 1883, for not reviewing autopsy specimens. Malgaigne and Stimson hypothesised that Barton had most likely observed Colles-type fractures and paid tribute to Lenoir, a member of Dupuytren’s study group, who demonstrated this fracture type during autopsy.
However it should be noted in Barton’s original paper he specifically states:
This accident must not be confounded with those which are of frequent occurrence, namely, fracture of the radius, or of the radius and ulna just above, and not involving the joint. [Colles fracture]
1860 – The eponym for Barton’s fracture was applied in A practical treatise on fractures and dislocations by Frank Hastings Hamilton – the first complete work on fractures and dislocations to be written in English.
In the first volume of the Philadelphia Medical Examiner (1838) will be found a description by J. Rhea Barton, of Philadelphia, of a form of fracture occurring through the lower end of the radius, which is probably much less common than Colles’ fracture, and which had hitherto escaped the notice of surgeons. Its peculiarity consists in the line of fracture extending very obliquely from the articulation, upwards and backwards, separating and displacing the whole, or only a portion, as the case may be, of the posterior margin of the articulating surface.
Hamilton, Barton’s fracture. 1860: 279
1943 – Lorenz Böhler reviewed 431 cases of fractures of the radius involving the wrist joint and found only 7 posterior and 11 anterior marginal fracture dislocations. The rarity of the posterior marginal fracture and the relatively more common occurrence of the anterior marginal fracture may account for some of the eponymous nomenclature confusion.
1977 – Thompson and Grant reviewed all distal forearm fractures at UCLA Hospital from 1972-1975. Ten anterior and five posterior marginal fractures were treated – constituting 2.3 per cent of all distal forearm fractures. [Clin Orthop Relat Res. 1977 Jan-Feb;(122):210-21]
Associated Persons
- John Rhea Barton (1794–1871)
- Lorenz Böhler (1885–1973)
Alternative names
- Barton fracture-dislocation; Barton’s fracture
- Unstable Smith’s fracture
- Volar Barton or reverse Barton fracture
References
Historical references
- Barton, JR. Views and treatment of an important injury of the wrist. Medical Examiner. 1838; 1: 365–368. [PDF]
- Malgaigne J. A Treatise on Fractures. [Translated by John Packard] Philadelphia: Lippincott. 1859: 53
- Stimson LA. A Treatise on Fractures. Philadelphia: H.C. Lea. 1883: 453
- Böhler L. Technik der Knochenbruchbehandlung in Friede und im Kriege. 1943; 9-11
Review references
- Hamilton FH. Barton’s fracture. In: A practical treatise on fractures and dislocations, 1860: 279
- Peltier LF. Eponymic fractures: John Rhea Barton and Barton’s fractures. Surgery. 1953 Nov;34(5):960-70.
- Thompson GH, Grant TT. Barton’s fractures-reverse Barton’s fractures. Confusing eponyms. Clin Orthop Relat Res. 1977 Jan-Feb;(122):210-21
- Jupiter JB, Fernandez DL. Comparative classification for fractures of the distal end of the radius. J Hand Surg Am. 1997;22(4):563-571.
- Fernandez DL, Jupiter JB. Fracture of the Distal End of the Radius: Historical Perspective. In: Fractures of the Distal Radius. 2002: 1-21
- Debowski M. Distal radial fractures (illustration). Radiopedia
- Nickson C. Stairs versus Wrist. LITFL 2018
eponymictionary
the names behind the name
Dr Ronan McKenna, MB BCh BAO at National University of Ireland Galway. Living in Australia with plans for a future in Emergency Medicine. A keen interest in Medical History, Wilderness Medicine and Sport.
BA MA (Oxon) MBChB (Edin) FACEM FFSEM. Emergency physician, Sir Charles Gairdner Hospital. Passion for rugby; medical history; medical education; and asynchronous learning #FOAMed evangelist. Co-founder and CTO of Life in the Fast lane | On Call: Principles and Protocol 4e| Eponyms | Books |

