Rigler triad
Rigler’s Triad refers to a classic set of radiographic features pathognomonic for gallstone ileus, a rare form of mechanical small bowel obstruction caused by the migration of a gallstone into the gastrointestinal tract via a biliary-enteric fistula
The triad includes:
- Ectopic gallstone (often radiopaque and located in the intestinal lumen)
- Small bowel obstruction (evident as dilated small bowel loops)
- Pneumobilia (air in the biliary tree or gallbladder lumen)
Although individually non-specific, the presence of all three signs on plain radiography or CT strongly supports the diagnosis of gallstone ileus, especially in elderly female patients.
Description
- Ectopic gallstone: Migration of a gallstone into the bowel, typically lodged in the terminal ileum or ileocecal valve.
- Small bowel obstruction: Varies from partial to complete; may present with vomiting, distension, and constipation.
- Pneumobilia: Indicates an abnormal communication (e.g., cholecystoduodenal fistula) between the biliary tree and gut.
Clinical Relevance
- CT imaging provides the highest sensitivity in confirming Rigler’s Triad.
- Seen in ~1–4% of cases of mechanical bowel obstruction, but accounts for up to 25% in patients over age 70.
- Diagnosis often delayed due to non-specific symptoms and coexisting comorbidities.
Radiological Examples

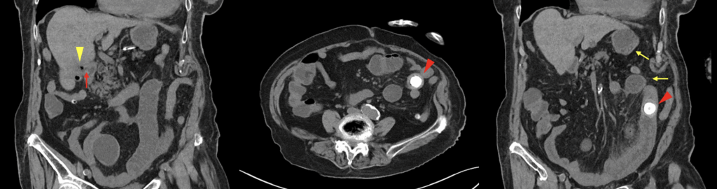
Rigler triad: 1. pneumobilia; 2. small bowel obstruction; 3. ectopic calcified gallstone
Case courtesy of Frank Gaillard. Case rID: 6906
2025 – JMA Journal case by Ono and Kitagawa, a 100-year-old woman presented with left flank pain and vomiting. CT imaging confirmed all three components of Rigler’s Triad:
- Pneumobilia
- A 20×30 mm ectopic gallstone in the small bowel
- Evidence of small bowel obstruction

A retrospective CT showed the gallstone had previously been in the gallbladder, confirming passage via a cholecystoduodenal fistula. The patient underwent laparotomy and recovered uneventfully.
History of the Rigler triad
1941 – Leo George Rigler (1896-1979) described two cases, observed at autopsy, in which the manner of development of a choledochoduodenal and a cholecystoduodenal fistula could be demonstrated.
The specific signs which permit a roentgenologic diagnosis of this condition are evidences of dynamic ileus, presence of gas or contrast medium in the biliary tract and direct or indirect visualization of the calculus.
In 13 of 14 cases of gallstone obstruction in which roentgen examination was made, the exact diagnosis could have been made from the roentgenograms alone
Rigler, JAMA 1941

1989 – The term Rigler’s Triad appears in Clinical radiology of the small intestine by Hans Herlinger, formally attaching Leo Rigler’s name to the triad of findings first described in 1941.
Though specific radiologic signs are absent in about half the patients, a diagnosis of gallstone ileus must be suspected in any elderly female presenting with features of small bowel obstruction. Rigler’s triad of dilated small bowel loops; air in the biliary tree; and a gallstone in an ectopic location, is as valid now as in 1941
Herlinger, 1989
1990 – Clavien et al recorded thirty-seven patients (33 women and four men, median age 78 years) who were operated on for gallstone ileus

Right: pneumobilia (black arrows), mechanical ileus, and an aberrantly located gallstone (black arrowhead). Clavien 1990
Associated Persons
- Leo George Rigler (1896-1979)
Alternative names
- Rigler’s triad
References
Historical references
- Rigler LG, Borman CN, Noble JF. Gallstone obstruction: pathogenesis and roentgen manifestations. JAMA. 1941; 117(21): 1753-1759
Rigler triad references term review
- Rippey J. Ultrasound Case 032. LITFL (Gallstone ileus)
- Bickle I. Rigler triad (gallstone ileus). Radiopaedia
- Herlinger H. Clinical radiology of the small intestine. 1989: 60-63
- Clavien PA, Richon J, Burgan S, Rohner A. Gallstone ileus. Br J Surg. 1990 Jul;77(7):737-42
- Lassandro F, Romano S, Ragozzino A, Rossi G, Valente T, Ferrara I, Romano L, Grassi R. Role of helical CT in diagnosis of gallstone ileus and related conditions. AJR Am J Roentgenol. 2005 Nov;185(5):1159-65
- Zabeirou A, Saidou A, Younssa H, James Didier L, Younoussa M, Sani R. An authentic radiological triad of Rigler allowing the diagnosis of gallstone ileus: A case report. Radiol Case Rep. 2024 Jan 27;19(4):1565-1567.
- Ono R, Kitagawa I. Rigler’s Triad: A Radiological Sign of Gallstone Ileus. JMA J. 2025;8(1):293-294.
eponymictionary
the names behind the name
BA MA (Oxon) MBChB (Edin) FACEM FFSEM. Emergency physician, Sir Charles Gairdner Hospital. Passion for rugby; medical history; medical education; and asynchronous learning #FOAMed evangelist. Co-founder and CTO of Life in the Fast lane | On Call: Principles and Protocol 4e| Eponyms | Books |
