CT Case 097
An 85-year-old woman presents with anterior pelvic pain following a mechanical fall
A pelvic x-ray is performed

Several hours later, while awaiting admission to the ward, this patient becomes haemodynamically unstable and describes worsening lower pelvic pain.
She is sent for CT scan of the abdomen and pelvis.
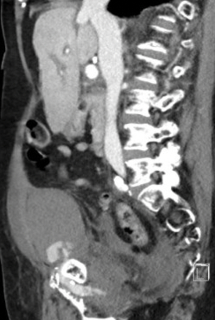
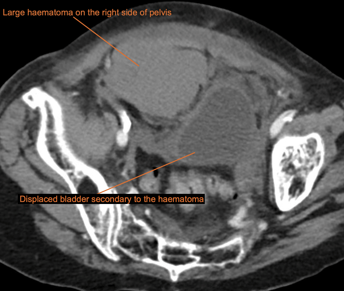
Describe and interpret the CT scan
Clinical Pearls
This is a rare and tricky diagnosis. We typically think of pubic rami fractures as benign fractures that can be managed conservatively.
However, this completely changes in the context of patients with the ‘Corona Mortis’ anatomical variant.
Corona mortis is Latin for ‘crown of death’. It is a common vascular anastomosis variant between the obturator artery and either the external iliac artery or the inferior epigastric artery.
This anastomosis is located posterior to the superior pubic rami.

In patients with this anatomical variant, a fracture of the superior pubic rami can cause arterial injury and rapid haemorrhagic shock.
While it can be a tricky diagnosis, it should be considered in patients who have superior rami fracture along with significant lower abdominal pain, difficulty voiding or clinical signs of hypoperfusion.
Those at higher risk are the elderly, and those anticoagulated with warfarin, a NOAC or aspirin.
References
- Kong WM, Sun CK, Tsai IT. Delayed presentation of hypovolemic shock after a simple pubic ramus fracture. Am J Emerg Med. 2012 Nov;30(9):2090.e1-4.
- Perandini S, Perandini A, Puntel G, Puppini G, Montemezzi S. Corona mortis variant of the obturator artery: a systematic study of 300 hemipelvises by means of computed tomography angiography. Pol J Radiol. 2018
TOP 100 CT SERIES
Sydney-based Emergency Physician (MBBS, FACEM) working at Liverpool Hospital. Passionate about education, trainees and travel. Special interests include radiology, orthopaedics and trauma. Creator of the Sydney Emergency XRay interpretation day (SEXI).
Provisional fellow in emergency radiology, Liverpool hospital, Sydney. Other areas of interest include paediatric and cardiac imaging.
Emergency Medicine Education Fellow at Liverpool Hospital NSW. MBBS (Hons) Monash University. Interests in indigenous health and medical education. When not in the emergency department, can most likely be found running up some mountain training for the next ultramarathon.
Dr Leon Lam FRANZCR MBBS BSci(Med). Clinical Radiologist and Senior Staff Specialist at Liverpool Hospital, Sydney











