CXR Case 029
A 32 year old old male presents with a dry cough, malaise and arthralgia
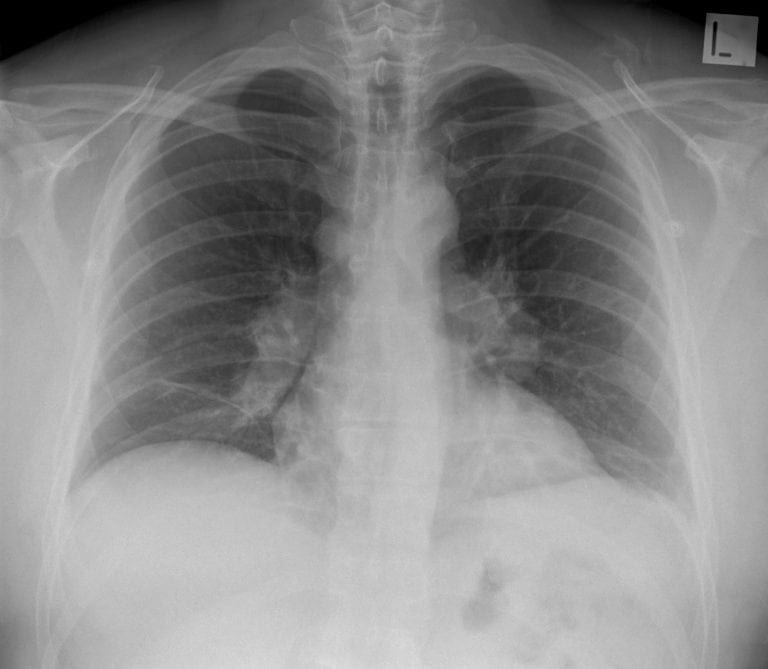
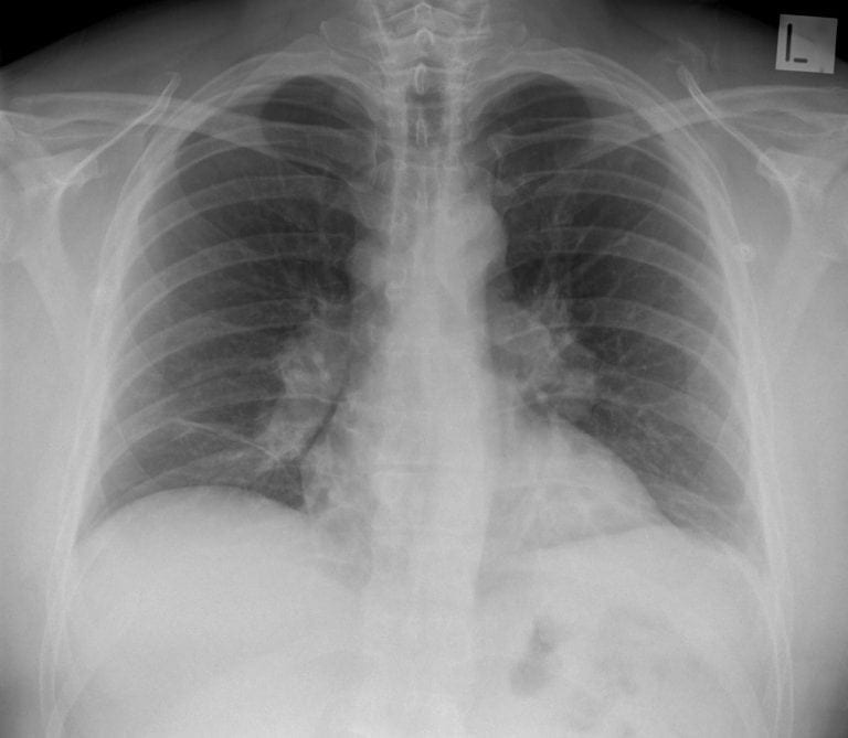
Describe and interpret this CXR
CHEST X-RAY INTERPRETATION
There is bilateral hilar adenopathy and bands of atelectasis in both lung bases.
*Lung parenchyma looks normal.
CLINICAL CORRELATION
This is sarcoidosis (stage 1 on radiological classification)
*Important differentials to consider would be lymphoma and TB *
Lymph node biopsy (these days guided by endobronchial ultrasound) demonstrating non-caseating granuloma is needed to secure the diagnosis
CLINICAL PEARLS
Once the diagnosis is secure, sarcoidosis that is not causing organ damage does not necessary need treatment, ~85% of cases at this stage will resolve spontaneously over 8-12 months.
Prof Fraser Brims Curtin Medical School, acute and respiratory medicine specialist, immediate care in sport doc, ex-Royal Navy, academic| Top 100 CXR | Google Scholar | ICIS Course ANZ

