CXR Case 097
A 64 year old lady presents to the respiratory team with a 3 month history of progressive dyspnoea, chest pain and weight loss.
click images to enlarge
Describe and interpret this CXR and CT chest
IMAGE INTERPRETATION
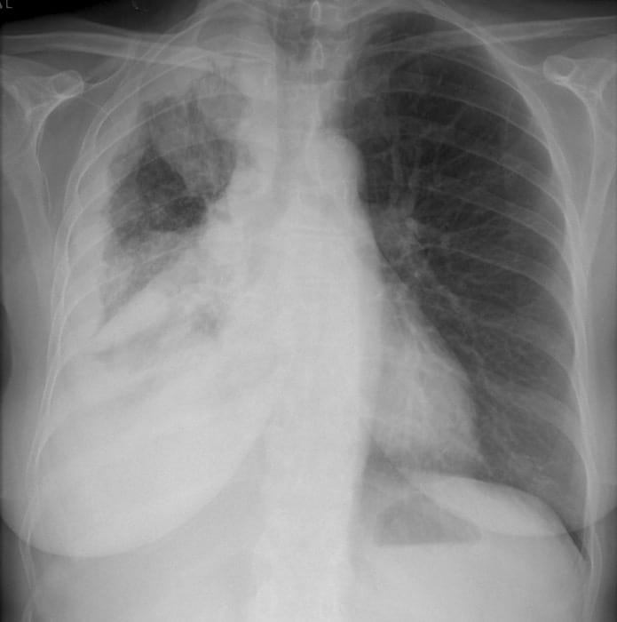
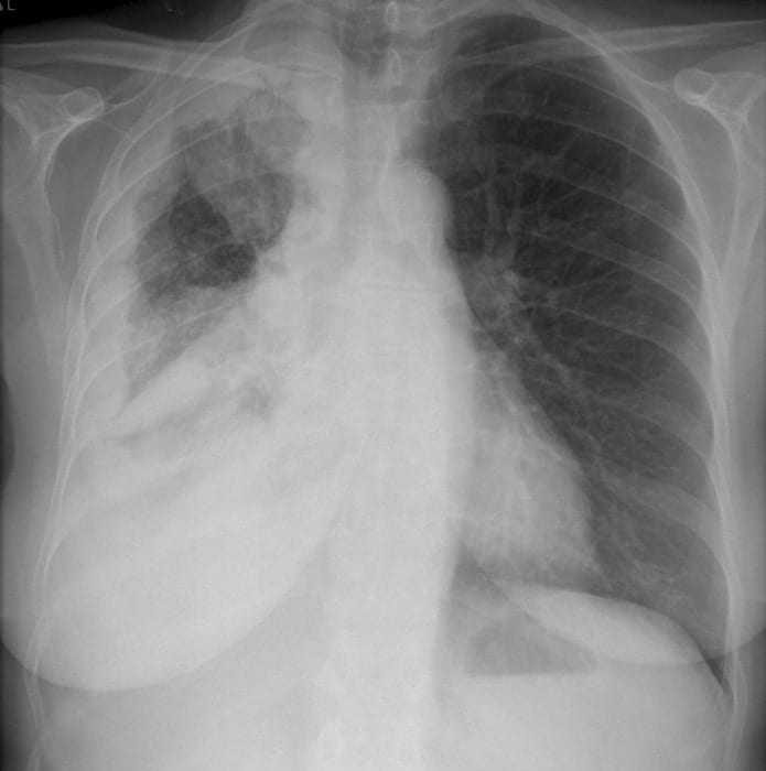
CXR Interpretation:
There is encasement of the right lung from pleural thickening in the right hemithorax with volume loss.
The left pleura is normal. There is a nipple shadow on the left.
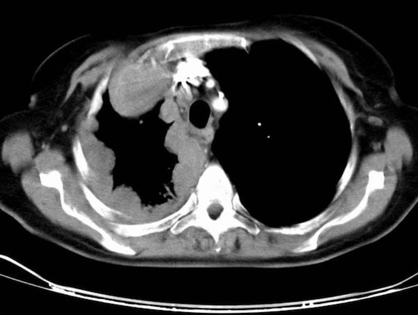
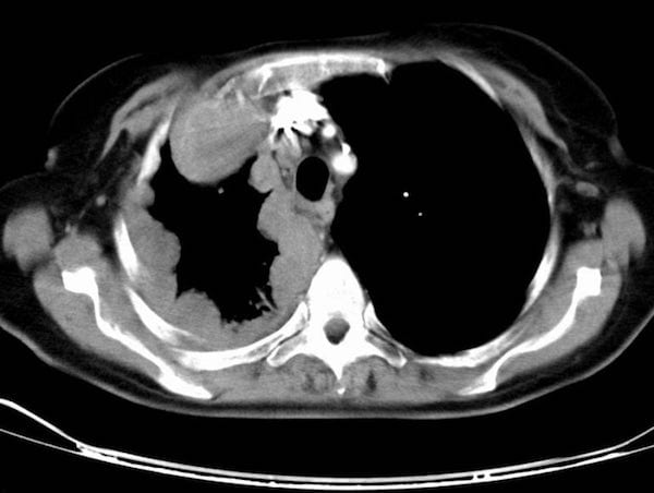
CT Interpretation:
CT chest demonstrates circumferential pleural thickening.
CLINICAL CORRELATION
This is characteristic of malignant pleural mesothelioma
CLINICAL PEARLS
This lady was a shop worker with no occupational exposure to asbestos; her husband was a carpenter – she was exposed to asbestos while washing his work overalls (‘para-occupational‘ exposure).
TOP 150 CXR SERIES
Prof Fraser Brims Curtin Medical School, acute and respiratory medicine specialist, immediate care in sport doc, ex-Royal Navy, academic| Top 100 CXR | Google Scholar | ICIS Course ANZ


