History of the gallstone ileus
Gallstone ileus is a mechanical bowel obstruction caused by one or more gallstones entering the gastrointestinal tract via a biliary-enteric fistula, most often cholecystoduodenal. The ectopic gallstone lodges typically at the ileocecal valve, producing small bowel obstruction.
Epidemiology
- Overall, accounts for 0.3–0.5% of mechanical small bowel obstructions.
- Increased prevelance in elderly (up to 25% in patients over 65)
- Predominantly affects elderly females, often with underlying gallbladder disease.
- Mortality rates remain high (12–30%) due to delayed diagnosis and associated comorbidities
Aetiology and Pathophysiology
- Chronic cholecystitis leads to inflammation and adhesion between the gallbladder and bowel (most commonly the duodenum).
- Gallstones erode into the bowel forming a biliary-enteric fistula.
- Passage of a large stone (>2–2.5 cm) results in obstruction, usually in the terminal ileum.
- Rare sites include the jejunum, colon, or stomach (Bouveret syndrome)
Key Imaging Features (Rigler’s Triad)
- Small bowel obstruction
- Pneumobilia
- Ectopic gallstone
Sensitivity increases when all three features are present; however, only 14–53% of cases demonstrate the full triad on plain films

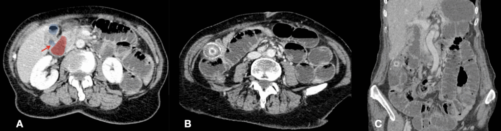
A. cholecystenteric fistula (red arrow) : communication between the shrunken gallbladder lumen (blue) and the second part of the duodenum (red).
B. ectopic calcified gallstone
C. coronal CT and portal venous phase. Gallstone ileus Radiopaedia
History of the gallstone ileus
1654 – The first case of cholecystointestinal fistula with probable entrance of a gallstone into the alimentary tract was recorded by Thomas Bartholin (1616-1680) as Historia LIV. Novus bilis ductus & Pancreatitis tumor. He recorded the 1652 dissection of a female patient by German surgeon, and anatomist, Johannes Veslingius Mindanus [aka Johann Vesling (1598-1649)]
Interim provida natura ad bilem expurgandum alium efformaverat ductnm ab hepate prodeuntem, poro bilario a calculis constipato vicinum, qui in jejunum intestinum terminabatur.
Meanwhile, provident nature had formed another duct for the purging of bile, coming from the liver, adjacent to the biliary pore clogged with stones, which terminated in the jejunum*. – Bartholin 1654
**“Jejunum” probably “duodenum”, as in the past and up until the 1900’s there was often no strict distinction between the two sections of the intestine.
1770 – M. Beaussier (France) documented a pathological fistulous communication between the gallbladder and the stomach with distal biliary obstruction secondary to gallstone impaction.
❝La vésicule du fiel communique par son corps, avec l’orifice inférieur de l’estomac… Le canal cholédoque est plus long & plus épais qu’il ne doit être ; il se trouve obstrué vers l’extrémité où il entre dans le duodenum… ❞
The gallbladder communicates directly with the lower orifice of the stomach… The common bile duct is longer and thicker than usual; it is obstructed near the point it enters the duodenum.
Beaussier 1770
1841 – Auguste Bernard Bonnet (1791-1873) presented Observation No. 63 in Traité complet théorique et pratique des maladies du foie, a post-mortem case of gallstone obstruction in the small intestine.
1890 – Ludwig Georg Courvoisier (1843-1918) published ‘Casuistisch-statistiche Beiträge zur Pathologie und Chirurgie der Gallenwege‘ in which he synthesized over 400 cases of gallstone surgery. He reported on 125 operations for gallstone ileus with a mortality of 44 per cent, results comparable to those obtained during the next half century.
1896 – Léon Bouveret (1850-1929) defined Bouveret syndrome as a reverse gallstone ileus where the gallstone propagates proximally and causes gastric outlet obstruction by being impacted in first part of duodenum.
1910 – John B. Murphy (1857–1916) proposed a clear historical delineation in the understanding and management of gallstone ileus
Obstructions of the gastro-intestinal tract by gallstones may be divided into two distinct epochs : First, that which preceded the appearance of the monograph of Courvoisier in 1890; and, second, the period from 1890 to 1910.
Murphy 1910
Murphy emphasized Courvoisier’s 1890 work as “epoch-making,” having catalogued virtually all recorded gallstone cases up to that time and highlighting the potential for surgical intervention. Murphy also credited his own invention of the Murphy button (1892) as accelerating the shift toward operative management, particularly cholecystoenterostomy for gallstone-induced obstruction.
1941 – Leo George Rigler (1896-1979) described the classic radiological signs of gallstone ileus (later termed Rigler’s triad):
- Pneumobilia (air in the biliary tree or gallbladder lumen)
- Ectopic gallstone (often radiopaque and located in the intestinal lumen)
- Small bowel obstruction (evident as dilated small bowel loops)
1954 – Deckoff reviewed the global literature and defined 555 published cases globally. He formalised gallstone ileus as a recognised clinical entity, highlighting mortality risks, diagnostic difficulty, and the emerging role of radiological confirmation.
1990 – Clavien et al analysed 37 cases. and recommended a one-stage surgical approach (enterolithotomy, cholecystectomy, and fistula repair) when feasible, especially if residual stones were suspected. Mortality still significant (12–27%).
Longevity in Western countries has probably increased the prevalence of gallstone ileus… These results support the view that a one-stage procedure is, when feasible, a valid option.
Clavien 1990
Associated Persons
- Thomas Bartholin (1616-1680)
- Auguste Bernard Bonnet (1791-1873)
- Ludwig Georg Courvoisier (1843-1918)
- Léon Bouveret (1850-1929)
- John B. Murphy (1857–1916)
- Leo George Rigler (1896-1979)
References
Historical references
- Bartholinus T. Historia LIV. Novus bilis ductus & Pancreatitis tumor. Historiarum anatomicarum rariorum centuria I et II. 1654
- Beaussier. Autre observation. Journal de médecine, chirurgie, pharmacie, &c. 1770; 32: 163-165
- Bonnet A. Traité complet théorique et pratique des maladies du foie. 1841: 312-316
- Bouveret L. Traité des maladies de l’estomac, Paris: J.-B. Baillière 1893
- Bouveret L. Sténose du pylore adhérent à la vésicule calculeuse, Revue de médecine, Paris 1896; 16: 1-16
- Courvoisier LG. Casuistisch-statistiche Beiträge zur Pathologie und Chirurgie der Gallenwege. 1890
- Murphy JB. Gallstone disease and its relation to intestinal obstruction. Illinois Medical Journal. 1910; 18: 272-280
- Martin F. Intestinal obstruction due to gall-stones: with report of three successful cases. Ann Surg. 1912;55:725–743.
- van Wagner A. Ileus durch Gallensteine. Deutsche Zeitschrift für chirurgie. 1914; 130: 353-388.
- Moore GA. Gallstone Ileus. The Boston medical and surgical journal. 1925; 192(22): 1051-1055.
- Foss HL, Summer JD. Intestinal Obstruction from Gallstones. Ann. Surg., 1942; 115: 721
- Deckoff SL. Gallstone ileus; a report of 12 cases. Ann Surg. 1955 Jul;142(1):52-65.
- Raiford TS. Intestinal obstruction due to gallstones. (Gallstone ileus). Ann Surg. 1961 Jun;153(6):830-8.
- Clavien PA, Richon J, Burgan S, Rohner A. Gallstone ileus. Br J Surg. 1990 Jul;77(7):737-42.
Eponymous term review
- Rippey J. Ultrasound Case 032. LITFL (Gallstone ileus)
- Porter IH. Thomas Bartholin (1616-1680) and Niels Steensen (1638-1686). Master and pupil. Med Hist. 1963 Apr;7(2):99-125.
- Reisner RM, Cohen JR. Gallstone ileus: a review of 1001 reported cases. Am Surg. 1994 Jun;60(6):441-6.
- Singh AK, Shirkhoda A, Lal N, Sagar P. Bouveret’s syndrome: appearance on CT and upper gastrointestinal radiography before and after stone obturation. AJR Am J Roentgenol. 2003 Sep;181(3):828-30.
- Hanbidge AE, Buckler PM, O’Malley ME, Wilson SR. From the RSNA refresher courses: imaging evaluation for acute pain in the right upper quadrant. Radiographics. 2004 Jul-Aug;24(4):1117-35.
- Lassandro F, Romano S, Ragozzino A, Rossi G, Valente T, Ferrara I, Romano L, Grassi R. Role of helical CT in diagnosis of gallstone ileus and related conditions. AJR Am J Roentgenol. 2005 Nov;185(5):1159-65.
- Chou JW, Hsu CH, Liao KF, Lai HC, Cheng KS, Peng CY, Yang MD, Chen YF. Gallstone ileus: report of two cases and review of the literature. World J Gastroenterol. 2007 Feb 28;13(8):1295-8.
- Abdeldjalil B. Gallstone ileus. Radiopaedia
eponymictionary
the names behind the name
MbChB University of Bristol, UK. Currently working at Sir Charles Gairdner Hospital, Perth, Australia in emergency medicine.
BA MA (Oxon) MBChB (Edin) FACEM FFSEM. Emergency physician, Sir Charles Gairdner Hospital. Passion for rugby; medical history; medical education; and asynchronous learning #FOAMed evangelist. Co-founder and CTO of Life in the Fast lane | On Call: Principles and Protocol 4e| Eponyms | Books |

